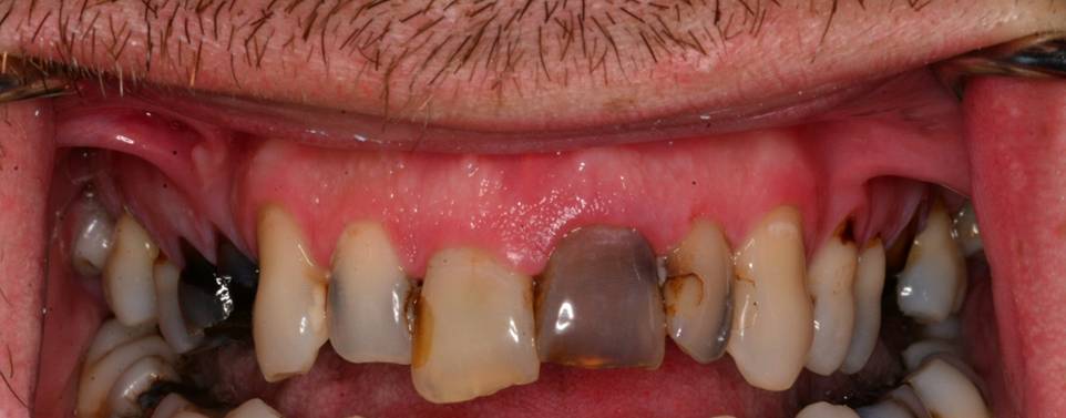
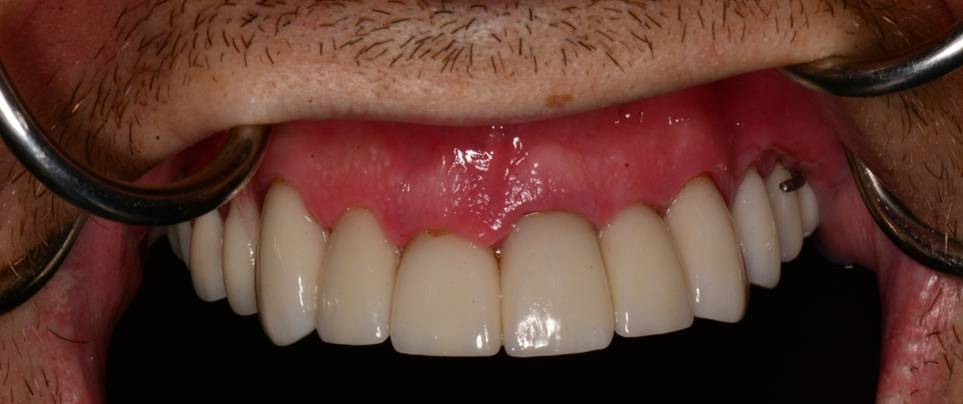
Our Smile Gallery features before and after photographs that highlight the dramatic improvements possible with modern dental care. From cosmetic dentistry transformations to restorative treatments, each image tells a unique story of renewed confidence and improved oral health. These real patient results demonstrate our commitment to excellence in dental artistry and showcase the variety of treatments available at our practice. Whether you’re considering teeth whitening, porcelain veneers, dental implants, or complete smile makeovers, our gallery provides inspiration and insight into the possibilities for your own smile transformation.
Smile Gallery
Ready to begin your own smile transformation journey? Contact us to learn how we can help you achieve the
beautiful smile you’ve always wanted. Call 727-391-0269 for more information.
Hygiene


Full Mouth


Smile Transformation


Check back soon for new photos of our smile gallery!